联系热线:
15398387702
新闻中心
NEWS

绽彩医疗-这个肠管扩张如何考虑?

发布日期:2022-04-27 14:32:16   来源 : 绽彩医学公众号    作者 :刘刚    浏览量 :1751
刘刚 绽彩医学公众号 发布日期:2022-04-27 14:32:16  
1751
原创者简介

刘刚,毕业于河北医科大学医学影像专业,师从原北京朝阳医院超声科主任、中华医学会超声专业分会委员吴雅峰教授、武警河北总队医院那桂萍主任,著名超声医学自媒体《产检超人刘刚》创办者,积累了丰富的临床实践经验,为妇产科疾病的分析、诊断及治疗提供充分有利的影像资料,造诣颇深,在国内外发表相关论文十余篇。


擅长:熟练掌握腹部、成人心脏、血管、浅表器官、关节、妇科、胃肠造影的超声检查,尤其擅长产科以及儿科检查,近15年主要从事产科胎儿畸形的研究,对产前诊断、胎儿宫内发育不同阶段畸形的检测、产后康复及妇产科常见病、疑难病的超声诊断技术娴熟。



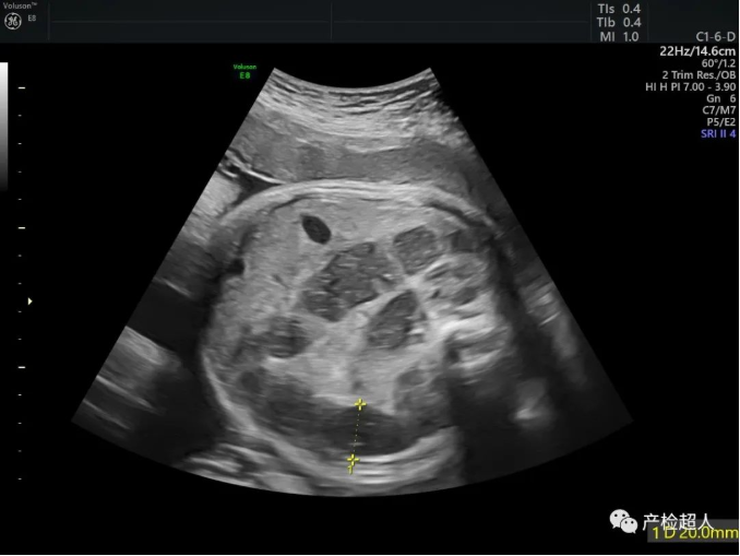
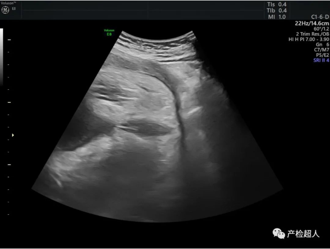
37周,腹腔及肛门附近图像如下,您作何考虑,欢迎留言,下期答案揭晓。


总部电话:
400-168-3618 15398387702
深圳市福田区梅林多丽工业区3栋
关于绽彩
联系电话:
产品中心

Copyright @ 2021. All rights reserved.云南信乐康科技有限公司 版权所有. 滇ICP备17009070号-3