联系热线:
15398387702
新闻中心
NEWS

绽彩医疗-十二指肠腔外憩室的超声诊断

发布日期:2022-02-23 14:12:21   来源 : 胃肠不柯 细语晓声公众号    作者 :穆柯晓    浏览量 :1860
穆柯晓 胃肠不柯 细语晓声公众号 发布日期:2022-02-23 14:12:21  
1860

  在消化道憩室发病率中十二指肠憩室最为多见,可分为腔内憩室和腔外憩室两种。十二指肠腔外憩室通常认为是获得性的,是由于先天性十二指肠局部肠壁肌层缺损且肠腔内压力增高时黏膜下层通过肌层缺损处往外膨出形成,或周围组织炎症造成黏连、瘢痕牵拉十二指肠壁而形成。Vater壶腹周围因胰胆管及血管穿过肠壁,缺乏结缔组织支持,是最常见的薄弱部位,是憩室好发处,约75%位于Vater壶腹周围2cm以内,称为乳头旁憩室(periampullary  diverticulum,PAD),亦有学者认为与Oddi括约肌收缩牵拉十二指肠壁对乳头旁憩室的形成有一定关系。

  十二指肠腔外憩室多无临床症状,常偶然发现。合并憩室炎时表现为上腹痛,常反射到背部。PAD可并发胆总管结石、胆管炎,以及复发性胰腺炎,也称为PAD综合征。

  十二指肠憩室通常通过上消化道钡餐或内镜诊断。随着胃充盈超声的进一步发展,超声对十二指肠憩室的检出率越来越高。但很遗憾,发病率很高的十二指肠腔外憩室常因位置偏后、周边组织及气体回声干扰以及检查者手法不到位等因素而漏掉。(对于检查手法的提高,可来山东中医药大学第二附属医院胃肠超声精品培训班学习全胃及十二指肠追踪法,独创的简单易上手且不易漏病灶的手法,很实用


  超声诊断思路:十二指肠腔外憩室随憩室内容物的不同可分为囊性回声型、含气强回声型、混合回声型。囊性回声型表现为突出于十二指肠轮廓外的囊性区;含气强回声型表现为十二指肠旁条索状强回声,后方可伴混浊声影,合并炎症时,条索状强回声周边可见片状强回声(炎性脂肪回声)包绕(因憩室壁仅有黏膜层与黏膜下层,炎症易扩散形成憩室周围炎),二次水充盈后或可见液体进入而呈气液混合回声;混合回声型表现为强低回声相间(内含食物残渣及气体)。十二指肠短轴切面可见“双腔征”。

  囊性回声型因憩室内含液体,液体与周边组织回声差异大,故易显示;混合回声型其内含食物残渣及气体,表现为强低回声相间,也相对易诊断。而含气强回声型因憩室内气体与周边脂肪结缔组织回声差异不大,还有周边气体的干扰,易漏诊。注意扫查手法技巧,观察气体是否紧邻跟十二指肠并或可见同步蠕动,二次充盈后液体进入,结合周边特异性的片状高回声区即可确诊。


紧邻十二指肠的条索状强回声、短轴切面呈“双腔征”、周边片状高回声区(和或二次水充盈后气液混合)即可锁定十二指肠腔外含气强回声型憩室的诊断。


病例一(含气强回声型),十二指肠乳头旁紧邻肠壁的条索状强回声,周边可见片状高回声区:


短轴切面可见十二指肠与憩室的“双腔征”:


带病人去做了上消化道钡餐检查证实:


病例二(含气强回声型),紧邻十二指肠肠壁条索状强回声,短轴切面呈“双腔征”、周边片状高回声区,典型三联征,超声提示十二指肠憩室:



上消化道钡餐检查提示十二指肠憩室:

病例三(含气强回声型),十二指肠旁条索状强回声,周边片状高回声不明显,造影剂充盈下的十二指肠短轴切面与憩室的“双腔征”:

二次水充盈后,憩室内气液混合回声:


病例四(囊性回声型),十二指肠旁囊性回声,提示憩室:



病例五(囊性回声型),十二指肠囊性回声型憩室(此病例由宁波市鄞州三院任卫平主任提供):



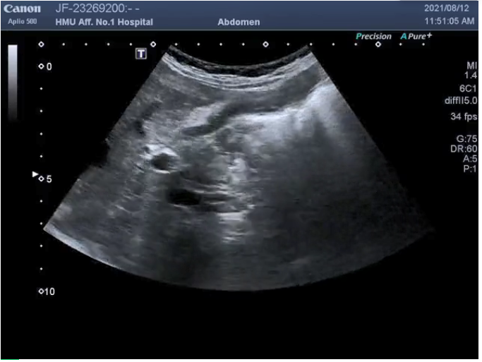
病例六(混合回声型),十二指肠旁强低回声相间混合回声型憩室(此病例由山东中医药大学第二附属医院胃肠充盈超声精品培训班优秀学员、哈尔滨医科大学附属第一医院贾凡医生提供):


参考文献:

  1. 刘克平,刘文军,张宗权.多层螺旋CT对十二指肠憩室的诊断价值【J】.中国医学创新,2014,11(19):37-40.

  2. 张波绪. 十二指肠乳头旁憩室的CT诊断[J]. 中国辐射卫生,2014,23(5):468-469.

总部电话:
400-168-3618 15398387702
深圳市福田区梅林多丽工业区3栋
关于绽彩
联系电话:
产品中心

Copyright @ 2021. All rights reserved.云南信乐康科技有限公司 版权所有. 滇ICP备17009070号-3