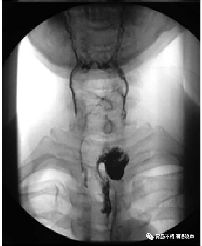
咽食管Killian-Jamieson憩室是指环咽肌下方食管壁部分局限性膨出形成的囊袋样结构,多位于与环状软骨相邻的颈段食管前外侧壁,超声常规检查颈段食管时可显示。与咽食管Zenker憩室不同,后者位于环咽肌后壁,超声常规检查颈段食管时不易显示。
食管憩室分为真性憩室与假性憩室。真性憩室为先天性憩室,表现为食管壁全层膨出。假性憩室为后天获得性憩室,由于食管腔内压力过高,使黏膜和黏膜下层从肌层缝隙疝出腔外。咽食管Killian-Jamieson憩室为假性憩室,因环咽肌与食管近端肌的运动不协调,腔内压力增高导致局部黏膜和黏膜下层从Killian三角区向外膨出形成憩室。
(Killian三角区是指咽部与食管连接处,咽下缩肌和环咽肌于侧面及后面留有间隙,食管上端纵行肌在其两侧,形成的较为薄弱的三角区。咽食管Killian-Jamieson憩室于环咽肌下方向一侧膨出;咽食管Zenker憩室于环咽肌上方向后膨出。)
超声表现:
1.甲状腺侧叶深部结节,左侧多见,前缘与甲状腺分界清晰,后缘常显示不清或显示与食管相通,通道呈直角或锐角与食管腔相连。
2.可分为无或低回声型、强回声型、混合回声型。憩室内液体充盈表现为无回声型,混浊液体充盈表现为低回声型;气体充盈表现为强回声型;液体、气体和或食物残渣滞留混合表现为混合回声型。混合回声型回声多样,可表现为无或低回声背景下散在点状或条状强回声;无或低回声与团块状强回声相间等。
3.吞咽口水试验:嘱病人吞咽口水动态观察,可见点状、团块状强回声涌入结节内。
鉴别诊断:因咽食管Killian-Jamieson憩室位于甲状腺侧叶后方,部分含混浊液体的低回声型憩室、低回声背景下散在点状强回声的混合回声型憩室凸向甲状腺,且纵横比>1,易误诊为甲状腺近背侧包膜的结节甚至癌。甲状腺癌内部的点状钙化大多边缘清晰,而憩室内部的点状强回声部分后方可见彗星尾;甲状腺癌后缘多清晰可见,憩室后缘多不清晰;吞咽口水实验及隔日复查观察结节有无变化有助于鉴别诊断。

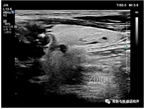
病例一:甲状腺左叶后方低回声型咽食管Killian-Jamieson憩室。

其后方与食管相通。

吞咽口水实验可见团块状强回声涌入。

病例二:甲状腺左叶后方强回声型咽食管Killian-Jamieson憩室(此病例由杭州市第一人民医院韩志江主任提供)。

食道左侧壁见一囊袋状突起,边缘光滑。

病例三:甲状腺左叶后方混合回声型食管Killian-Jamieson憩室,低回声内见点状强回声。

病例四:甲状腺左叶后方混合回声型咽食管Killian-Jamieson憩室,无回声内见点状及团块状强回声。

病例五:甲状腺左叶后方凸入甲状腺的低回声结节,纵横比>1,首诊考虑甲状腺癌。

隔日复查,结节的内部回声发生了变化,呈典型混合回声型咽食管Killian-Jamieson憩室的表现。

病例六:像甲状腺癌的凸入甲状腺左叶的混合回声型咽食管Killian-Jamieson憩室,结节后缘不清晰;与后缘清晰可见的甲状腺癌可鉴别。
2020年12月18日-20日,美丽的泉城济南,山东中医药大学第二附属医院胃肠超声研修班欢迎您!参会人员抵达济南请携带7日内核酸检测纸质报告。
12月19日

12月20日

