联系热线:
15398387702
新闻中心
NEWS

绽彩医疗-胃壁增厚性病变的超声诊断总结(一)

发布日期:2022-04-19 09:06:28   来源 : 胃肠不柯 细语晓声公众号    作者 :穆柯晓    浏览量 :1706
穆柯晓 胃肠不柯 细语晓声公众号 发布日期:2022-04-19 09:06:28  
1706

对于胃壁增厚性病变,因胃充盈超声可显示胃壁全貌,诊断有优势。当一例胃壁增厚性病变呈现在面前的时候,增厚的胃壁发生过什么故事?我们超声大夫可以像福尔摩斯一样根据蛛丝马迹去分析病变处经历过什么,最后得出结论。

胃壁增厚性病变,我总结了四类增厚:

1、肿瘤性增厚

2、炎性增厚

3、增生性增厚

4、充血淤血性增厚

  胃壁增厚性病变的诊断,基本囊括在这四类性质的增厚中,我们可以根据增厚的层次、增厚的特点慢慢排除、分析,进一步锁定,从而得出诊断。

  四类胃壁增厚性病变具体分类如下:

肿瘤性增厚:癌性增厚、淋巴瘤性增厚等

炎性增厚:黏膜炎症为主的胃炎、急性蜂窝织炎性胃炎、嗜酸性粒细胞性胃                     炎、胃克罗恩病等

增生性增厚:瘢痕期溃疡或愈合期溃疡的增生性增厚、胃平滑肌增生

充血淤血性增厚:胃壁静脉曲张、门脉高压性胃病

  摘几份病例,分析一下分别是哪类增厚?(提示:四类性质的增厚均有。下期公众号有病例思路讲解)

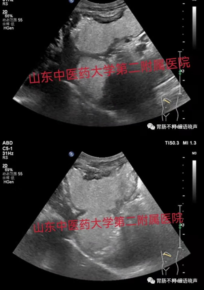
病例一,胃体前壁胃壁增厚性病变:

病例二,胃角处胃壁增厚性病变,层次不清晰,回声偏低:

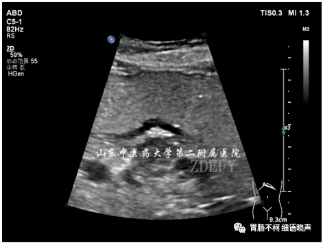
病例三,胃体偏后壁胃壁增厚性病变,层次尚清晰,黏膜面浅溃疡形成:

病例四,胃窦壁弥漫性增厚,层次不清晰:

病例五,以胃壁固有层增厚为主的胃壁增厚性病变:

病例六,胃贲门及近贲门处胃底、小弯侧壁增厚性病变:

病例七,胃窦壁以黏膜固有层增厚为主的增厚性病变,黏膜面可见糜烂:

更多胃壁增厚性病变超声诊断思路分析可关注我的讲课:

超声七层分层在胃壁增厚性病变中的诊断及鉴别诊断


声明:胃肠不柯 细语晓声公众号文章均为原创,感谢许多超声同仁对我原创内容的厚爱而引用,敬请经本人同意后注明原创作者及出处后方可引用。

总部电话:
400-168-3618 15398387702
深圳市福田区梅林多丽工业区3栋
关于绽彩
联系电话:
产品中心

Copyright @ 2021. All rights reserved.云南信乐康科技有限公司 版权所有. 滇ICP备17009070号-3