
2022,新的一年,胃肠不柯,细语晓声祝大家多喜乐、长安宁;多相聚、少离别;继续保持开心,保持热爱!元旦快乐!
食管裂孔疝(hiatal hernia of esophagus ,HH)是指腹腔内脏器(主要包括胃)暂时或长期经膈食管裂孔进入胸腔引起相应症状的疾病,大多伴有不同程度的胃食管反流,是膈疝中最常见者,达90%以上。
局部解剖特点:食管下端括约肌(lower esophageal sphincter ,LES)包括食管下端纵形肌和环形肌(内括约肌部分)、膈肌的肋部和脚部(外括约肌部分)及内外括约肌之间的膈食管韧带,通过膈食管韧带的传导,外括约肌的收缩和松弛协同食管下端括约肌,起着括约食管裂孔、防止腹腔其它脏器进入胸腔、防止胃内容物反流进入食管的作用。食管下端抗反流机制,除了LES的作用,还有HIS角与胃食管阀瓣瓣膜(gastroesophageal valve ,GEV)的作用。HIS角是食管腹段斜向与胃连接、使食管下端和胃底形成的锐角,又称贲门切迹或食管-胃角。GEV是贲门周围长约4-5cm的黏膜皱襞,胃内压力增加时,此皱襞有一定关闭贲门的作用,是抵抗胃内容物进入食管的黏膜屏障之一。

发病原因:食管裂孔疝多发生于老年患者,膈肌脚肌肉纤维的变性坏死和周围支撑结构的退化导致食管裂孔的薄弱扩大,从而导致了食管裂孔疝的发生;肥胖者由于胃内压力增加导致膈肌周围食管轴向压力增加,导致了食管裂孔疝发生;长期酸暴露引起食管缩短、痉挛,也容易诱发食管裂孔疝。食管裂孔周围支撑结构的破坏及薄弱、腹内压力升高、食管相对短缩导致抗反流屏障LES、GEV及HIS角的破坏,GEV松弛变短、HIS角变钝或消失,丧失了胃内压力挤压关闭的作用,从而导致反流的发生。
临床症状:早期可无症状或症状轻微,可渐出现胃内容物上反、上腹饱胀嗳气等,胸骨后或剑突下烧灼感等症状,严重者可并发不同程度的出血、贫血、食管狭窄、疝囊嵌顿等。
食管裂孔疝分为四型:
Ⅰ型:滑动型,EGJ(食管胃连接部)及与之相连的部分胃移至膈上(此型最多见,占95%以上)。
Ⅱ型:食管旁型,EGJ位置正常,部分胃经膈食管裂孔食管旁移至膈上。
Ⅲ 型:混合型,EGJ及与之相连的一部分胃、胃另一部分均移至膈上 。
(还有一种 Ⅳ型:部分胃及腹腔其他脏器均进入胸腔)
简单明了的图示:

滑动型(孤独版)

食管旁型(抱大腿版)

混合型(一起相拥看海版)
食管裂孔疝的超声诊断:
滑动型:EGJ上移,膈肌裂孔内径正常或增宽(正常解剖内经1.8-2.5cm),膈上疝囊及膈下胃呈“葫芦状”,“烧瓶状”,吸气、增加腹压、右侧卧位或二次充盈时疝囊及膈肌裂孔增大,造影剂在裂孔上下往返,膈上疝囊壁厚度及回声与胃壁一致相延续。
食管旁型:EGJ位于膈下,部分胃于食管腹段旁疝入膈上。
混合型:EGJ位于膈上,其旁可见部分胃移至膈上,两囊呈“双头征”。
因某些疝囊暂时进入胸腔,回纳腹腔时不易发现,二次充盈法可诱发此类食管裂孔疝的发生,从而做出诊断。对于不典型滑动型食管裂孔疝,应注意与单纯胃食管反流鉴别,单纯胃食管反流的管状反流束不同于膈上的疝囊囊袋样形状、单纯胃食管反流的食管裂孔管径无异常增宽可鉴别(滑动型食管裂孔疝的食管裂孔管径增宽或正常)。
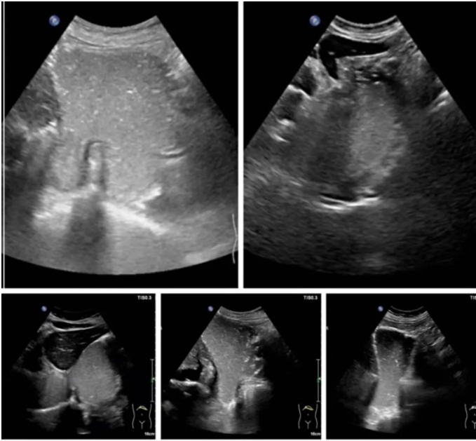
病例一,滑动型食管裂孔疝:




下图是不同表现的滑动型食管裂孔疝:宽窄不一的食管裂孔管径、大小不一的疝囊、或正常或变钝的HIS角,部分病例可见疝囊壁与胃壁回声及厚度一致的延续:


病例二,食管旁型食管裂孔疝:(图像来自于超声同仁提供,具体作者不详)

病例三,混合型食管裂孔疝,膈上两囊呈“双头征”:

参考文献:
陈双、周太成,食管裂孔疝解剖学观点[J].临床外科杂志2019,27(9)
