发布日期:2022-01-20 09:21:12
来源
: 江苏昱邦医械公众号
浏览量
:1747
江苏昱邦医械公众号
发布日期:2022-01-20 09:21:12
1747

陈阳鲍世韵孙枫林余小舫
深圳市人民医院 肝胆胰外科(广东 深圳 518020)
【摘要】总结超声引导徒手肝脓肿穿刺置管引流术的临床经验。回顾分析实施该术式的68例细菌性肝脓肿病例。所有患者均穿刺置管成功并引出大量脓液,无严重并发症。67例取得满意疗效,1例高龄患者死于脓肿继发的多脏器功能衰竭综合征。超声引导徒手肝脓肿穿刺置管引流术具有方便、安全、高效、微创等优点,可单人操作且设备条件要求不高,对于危重患者可行床边手术,值得推广普及。【关键词】肝脓肿•超声引导•经皮穿刺置管引流•徒手穿刺【文献标识码】B doi: 10.3969/j.issn. 1009-9905.2015.05.020【文章编号】1009-9905(2015)05-0406-03细菌性肝脓肿是肝胆外科常见的重症感染,病死率高达5.8%~9%[1],以往多采用创伤较大的手术引流,其操作较复杂,并发症较多。近年来介入技术不断发展,国内外均研究表明,肝脓肿穿刺置管引流较传统手术引流具有方法简单、安全高效、微创经济等优点[2-4],已成为该病的主要治疗措施[5]。目前多数单位需联合超声科(或超声介入部门)共同实施该术式,且多需使用专用穿刺探头或联合穿刺引导配件(如穿刺槽或穿刺架等[6-7],不够方便。笔者近4年来通过反复实践体会,单人应用普通腹部超声凸阵探头引导徒手肝脓肿穿刺置管引流术更为便捷,而且对于危重患者可于床边操作。总结相关经验报道如下。
1.1 一般资料 回顾性分析2010年6月—2014 年6月于我科诊治的单人普通腹部凸阵超声探头引导下徒手肝脓肿穿刺置管引流患者共68例,其中男38例,女30例;年龄25~88岁,中位年龄61.5 岁。单发脓肿42例,余26例为多发性或有显著分隔;脓肿位于右肝38例,左肝22例,双侧叶均有6例,尾状叶2例;脓腔直径4~14cm;脓肿液化完全或基本完全者(液化程度≥50%)55例,余13例液化程度不足50%;合并糖尿病38例,继发凝血功能显著异常14例,继发感染性休克者12例。其中46例在科内超声诊疗室完成手术,另22例病情较危重或高龄不便搬动患者在病房内行床边手术。1.2 方法 采用ALOKA SSD-3500型超声诊断仪、普通3.5 MHz凸阵腹部探头、一次性穿刺引流套管(猪尾形8.5F引流管、含针芯及金属扶直管等配件)、18G PTC穿刺针(15或20cm)、双腔静脉穿刺包(含60cm 0.035 inch末端呈鱼钩样导丝、扩张管)。1)常规心电监护及吸氧,平卧或左侧斜卧位,超声准确定位病灶且通过彩色多普勒辨别避让重要血管和胆管,选择最佳入路并作体表进针点标记。2)利多卡因局部麻醉后(需浸润至肝包膜)在穿刺点切开皮肤5 mm,一手持探头全程实时监控、另一手持8.5 F穿刺引流套管(带针芯)进行徒手穿刺,双手配合精确调整穿刺角度、方向、深度,经正常肝组织3cm左右直达脓腔中央。3)抽出针芯后回抽5~10mL脓液留作病原学检査,固定扶直管方位同时顺势推送8.5 F引流管至脓腔内(一般推送6~10cm时可感受一定阻力,即提示引流管末端已自然盘旋为猪尾形并已抵达脓腔底部),此时退出扶直管。4)引流管通过三通接口连接引流袋后随即可抽吸岀多量脓液。5)引流管内注射少量含气生理盐水确认脓腔内形成云雾状强回声(简称“注水试验”),从而验证引流管位置理想后予双针牢靠固定。少数预计一步法穿刺困难的病例(病灶较小或位置特殊较难观察者) 则采用“两步置管法(即导丝法)”:1)先用18G PTC针在普通探头全程实时监控下穿刺至脓腔中央,记录穿刺针体表刻度后取出PTC针芯并置入导丝、调整导丝至适宜深度(一般为穿刺针进针深度加2~3cm即可,可见高回声“鱼钩样”导丝末端位于脓腔中央)。2)撤除PTC针后沿导丝用扩张管充分扩张穿刺隧道,顺导丝轻柔推送8.5F猪尾形引流套管(不带针芯)至适宜深度后缓慢撤除导丝及扶直管(期间慎防导丝移位或受压弯折),其他步骤同“一步法”。术后视病情需要复查CT或彩超评价引流效果及引流管位置是否满意;必要时冲洗引流管维护管道通畅性;防治手术相关并发症。当脓液基本引流完全、炎症控制良好(即引流液性状转清亮,引流量<10mL/d、复査CT该区域已无明显积液,体温及血象基本正常)时可拔管。
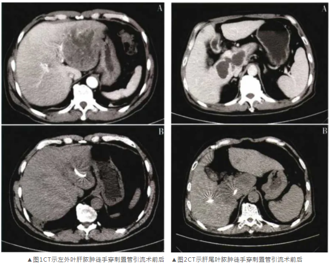
68例患者共置入71条引流管(其中3例为多发脓肿置双管引流),其中48例应用一步法,20例应用二步法。所有患者均一次穿刺置管操作成功,各抽吸出脓液25-600mL,手术平均时间约15min。几乎所有病例术后复査影像学(CT、超声)提示脓肿显著缩小、引流管位置满意(图1、2);管道 通畅性均维护良好。本组未出现明显出血、胆痿、 血气胸、胃肠道误伤等严重并发症,1个初期病例因脓液少量外溢继发局部腹膜炎经积极抗感染治疗后治愈;1例高龄患者因多发肝脓肿继发多脏器功能衰竭综合征死亡。所得脓液均行细菌培养及药敏试验,其中28例培养得肺炎克雷伯杆菌,19例培养得大肠杆菌,11例为葡萄球菌,7例为其他较少见细菌,其余未培养出致病菌;其中15例为混合致病菌感染。
▼A:术前;B:术后
1)细菌性肝脓肿常见的致病菌为肺炎克雷伯杆菌、大肠杆菌、金黄色葡萄球菌和厌氧菌,对于病情危重患者建议在获得细菌培养和药敏试验结果之前即应用高级别广谱抗感染药物(类似急性胰腺炎的 “降阶梯疗法”)。2)本组资料及部分文献报道提示 目前肺炎克雷伯杆菌已取代大肠杆菌成为肝脓肿最常见的致病菌的[8-12]。3)部分肝脓肿病例在积极抗 感染过程中液化程度始终不理想(液化程度30%~ 50%),此时患者仍反复出现寒战、高热、脉快、贫血消耗等典型感染性中毒症状,此时穿刺时机应及时调整。本组13例液化不全同时合并中毒症状者提前行穿刺引流术,术后通过引流管抽吸出部分脓液从而减少“脓液负荷量”,同时获取脓液做细菌培养及药敏试验,经调整抗感染方案后患者均获痊愈。因此紧急情况下不必被动等待脓肿完全液化以致病情延误,早期亦可施行穿刺置管引流,从而尽早减轻脓腔的压力,减少毒素的吸收[8,13]。4)肝脓肿常为多房性,在实施穿刺引流过程中应选取最大脓腔及最安全入路,置管后常发现各脓腔之间相互贯通、引流效果满意。5)对于脓肿分隔或过于黏稠导致引流不彻底者,有学者认为可注入尿激酶[2]或糜蛋白酶[13-14]以便降解纤维蛋白,裂解纤维分隔,使脓液易于流出。6)糖尿病患者极易继发肝脓肿,且在感染得到控制之前血糖调整非常困难,而成功引流脓液后常常发现血糖水平的调整逐渐变得容易,提示血糖水平和感染之间存在相互促进、相互影响的内在联系。7)重症感染患者常继发凝血功能显著异常,本应视为穿刺/手术禁忌证,我们经适当输血浆调整凝血四项各指标延长上限为正常值1.5倍以内后穿刺置管均得以安全完成(本组共14例属此种情况),感染控制后凝血机制数日内多可逐渐纠正。8)本组有一初期病例因经过正常肝组织过薄(1cm),脓液高压渗至腹腔导致腹膜炎,故穿刺路径应经过正常肝组织3cm左右较适宜。9)本组应用的8.5 F猪尾形引流套管粗细适中、侧孔较多且孔径够大,对脓液引流效果理想,且其金属扶直管刚性较强便于穿刺操作,其适用范围较广值得推荐。10)对于多数病例,一步法操作较为便捷,手术时间更短、 所用耗材及花费更少,但有三点需注意:a.穿刺引流套管作为一个整体部件在超声下显示不如单独的PTC针清晰(因后者经特殊处理使之在超声下回声更强);
b. 一旦误穿造成的副损伤较PTC针严重(因穿刺引流套管整体粗细为8.5F,而18G PTC针则细得多);
c.穿刺引流套管整体较粗且针尖不如PTC针锋利,在穿透组织时力量不易控制。因此对于初学者及困难病例推荐应用二步法以增加安全性。
超声介入常需使用与探头配套的专用穿刺架 辅助引导穿刺路径并需两人操作,笔者经过反复实践体会,在积累一定的操作经验后应用普通腹部探头单人徒手穿刺更方便灵活,施术者双手良好配合下可精确调整探头与穿刺针的角度。而且此法无需影像科专人配合、设备条件不高获取容易,手术医 师能自由决定手术时间,不必受限于外在因素。

1)施术者需具备一定超声医学基础,能充分理解超声图像与进针路径的同一平面的关系以及超声的“部分容积效应”。2)嘱患者平静呼吸后进针,进针点与探头侧方距离约1cm左右,穿刺针与探头的夹角约40°~50°时,穿刺针尖较容易在超声下显示,此时进针深度一般仅为2~3cm至腹壁皮下及肌层,有充分余地调整继续进针方向。3)当针尖显示不清时可调整探头向进针侧小幅度扫査并轻轻抽提穿刺针辅助辨认,当穿刺针轻刺肝包膜出现压迹时调整方向,使针尾、针尖以及拟定的穿刺点在一条直线上。“找针”是穿刺成败的关键,国外学者曾用体外模拟实验得出徒手穿刺时针尖显示的最佳条件:进针点与探头距离2~3cm,针与探头形成50°~60°夹角,此时最容易显示针尖,进针所需深度亦最短[15]。4)进针速度不宜过快,每深入2cm左右需重新评价进针方向及角度,必要时进行“微调”,若需较大幅度调针则必须退针至适当位置再重新进针,以避免穿刺道过度曲折。5)探头扫查平面和针道应维持同一平面以便显示穿刺(引流套管)针全程。6)若应用二步法应高度重视跟导丝相关的操作细节。穿刺成功后铭记PTC针体表刻 度,作为后续放置导丝、扩张管及引流套管深度的重要依据。导丝置入深度为PTC进针深度加2~3cm即可,如此导丝不会因置入过深而出现盘曲,避免后续操作中容易造成导丝弯折、置管不畅。在推送扩张管及引流套管时注意置入深度勿明显超过 PTC针穿刺深度,以防硬质管道末端将导丝顶折。7) 固定引流管前建议行“注水试验”,该法简单实用, 其效果类似“简易超声造影”,在检验引流管位置是 否满意的同时又冲洗了脓腔、稀释了脓液、维护了 管道的通畅性,值得推广。
总而言之,该手术的特点是环环相扣(准确定位、谨慎穿刺、细致找针调针、 控制导丝、轻柔送管、检验成败),若前一步操作稍有失误将导致后续操作困难,故保证每个环节的完 成质量至关重要。综上所述,在积累足够操作经验的前提下,普通超声探头引导徒手肝脓肿穿刺置管引流术具有方便、安全、高效且微创等优点, 可单人操作且设备条件要求不高,对于危重患者可行床边手术,值得推广普及。
[1] 黄洁夫.腹部外科学[M].北京:人民卫生出版社,2001:1090-1097.[2] 栾飞,王辉,超声引导穿刺置管引流与抽吸冲洗治疗肝脓肿的临 床应用[J],中国介入影像与治疗学,2006,3(6):451-453.[3] Hashimoto L, Herman R, Broniasowski SG. Pyogenic liver abscess: result of current management [J]. Am Surg, 1995,61 (5):407-411.[4] Ferraioli G, Garlaschelli A, Zanaboni D, et al. Percutaneous and surgical treatment of pyogenic liver abscesses: observation over a 21 — year period in 148 patients]』. Dig Liver Dis, 2008,40(8):690-696-[5] Herrera-Lerandi R. Management of hepatic abscesses [J]. World J Surg, 1999,23 (12):13-16.[6] 金秋龙,黄敏,邓学东,等.超声引导下经皮肝穿剌置管引流治庁 肝脓肿并发症分析与防治[J].中国介入影像与治疗学,2008,5 (3):180-182.[7] 高明,魏寿传,朱成森.经皮肝穿刺置双套管持续冲洗引流治疗肝 脓肿[JL滨州医学院学报,1997,20(5):490.[1] 廖伟,畅智慧,刘兆玉,等.经皮穿刺引流治疗肝脓肿12年临床经 验団.介入放射学杂志,2013,22(10):843-847.[2] Lee NK, Kim S, Lee JW, et al. CT differentiation of pyogenic liver abscesses caused by Klebsiella pneumoniae vs non -Klebsiella pneumoniae]J]. Br J Radiol, 2011,84(1002):518-525.[3] Lin YT, Siu LK, Lin JC, et al. Seroepidemiology of klebsiella pneumoniae colonizing the intestinal tract of healthy Chinese and overseas Chinese adults in Asian countries [J]. BMC Microbiol, 2012, 12:13.卩1]李丹,高杲,江红,等.细菌性肝脓肿37例临床特征分析[J].肝脏, 2013,18(5):287-290.[12] 俞泽元,赵荣荣,焦作义.细菌性肝脓肿123例临床分析[J].临床 肝胆病杂志,2014,30(8);795-797.[13] 孙冬林.B超引导下经皮肝穿刺置管引流治疗肝脓肿临床分析 [J〕.中国现代医药杂志,2004,6(5);21-23.[14] 杨晓伟,于晓玲,程志刚,等.超声引导下经皮穿刺置管引流在肝脓 肿治疗中的应用[J].解放军医学院学报,2014,35(2):109-111.[15] Bradley MJ. An in-vitro study to understand successful free-hand ultrasound guided intervention]』. Clin Radiol, 200156(5): 495198.


免责声明:本微信部分图文,来源于其他公众平台与互联网网页,其目的是为了将更好的内容分享给更多人,版权归原作者所有。如有涉及侵权请给予告知,我们会尽快在24小时内删除相关内容,谢谢!