中国医药教育协会胃肠超声学组病例分享
作者:陆文明
单位:浙江省湖州一院超声医学科
简要病史:
患者严XX,男,76岁。
因上腹痛伴恶心呕吐两周于2019.4.9来入我院诊治。体格检查及实验室检查未见明显异常。
半月前他院超声检查结果:

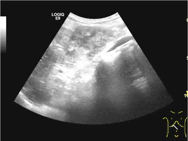
超声检查所见:


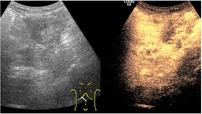
超声所见:

其他检查:


超声介入穿刺:

两次介入超声穿刺病理结果:


术中所见及标本:
患者行胰腺十二指肠切除、右半结肠切除术。术中于胰头钩突部至水平见一直径约8cm质硬肿块,界限不清,与横结肠系膜、大网膜及十二指肠系膜致密粘连。


术后病理报告:

讨论:
本病例讨论目的:一是胰腺钩突部肿块和十二指肠降部不易鉴别来源;二是胰腺钩突部肿块较易漏诊、病理性质难于确定。敬请超声同仁在实践中引起重视。
