联系热线:
15398387702
新闻中心
NEWS

绽彩医疗-胃肠超声分享(155)—— 直肠多发淋巴瘤伴肠腔重度狭窄

发布日期:2022-03-29 15:15:32   来源 : 胃肠超声视角公众号    作者 :编辑:胡紫玥 责任编辑:卢漫 李媛    浏览量 :1623
编辑:胡紫玥 责任编辑:卢漫 李媛 胃肠超声视角公众号 发布日期:2022-03-29 15:15:32  
1623

简要病史

患者,女,33岁,因排便困难逐渐加重及间断血便20余天入院。

      现病史:一年前无明显诱因出现持续性左上腹钝痛,就诊青岛大学附属医院,腹部CT示:腹腔内及腹膜后多发肿大淋巴结,大者短径约3.45cm,行超声引导下腹腔淋巴结穿刺活检术,病理支持非霍奇金淋巴瘤,考虑为弥漫大B细胞淋巴瘤。后转入中国医学科学院肿瘤医院治疗,病情缓解。近期患者肿瘤进展,并伴有里急后重,逐渐出现排便困难,偶见粘液血便及稀水便,来我院进一步诊治

超声检查(2022-01-11日):

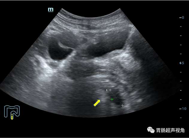
  • 腹膜后(脐上方)腹主动脉前方可见一淋巴结,大小约2.0x1.4x1.9cm,呈低回声,CDFI:其内未见明显血流信号。

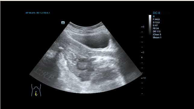
  • 直肠灌入300ml造影剂经腹探查:直肠肠腔重度狭窄,仅见液体呈线状迂曲缓慢进入。

  • 直肠肠壁可见多发低回声结节向腔内隆起,较大着位于直肠后壁,大小约5.2x3.3x2.0cm(长x宽x厚),前壁另可见片状不规则增厚,较厚处约1.1cm,累及长度约4.0cm(环绕肠壁约1/2周),肠粘膜面可见一较大凹陷,长约2.2cm,深约0.7cm,粘膜凹陷处可见强回声附着。

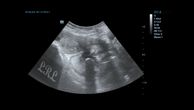
  • 逆行经肛门灌入造影剂,直肠腔明显狭窄,造影剂迂曲缓慢进入直肠腔



  • CT示:



子宫颈后缘见团片状低密度影,增强扫描呈弱强化,直肠后壁及右侧壁局灶性增厚。

经会阴肛门旁超声引导下直肠结节穿刺活检


病理:


病理:弥漫大B细胞淋巴瘤


直肠淋巴瘤治疗经过:

化疗后1周复查(2022-01-18日)超声示:

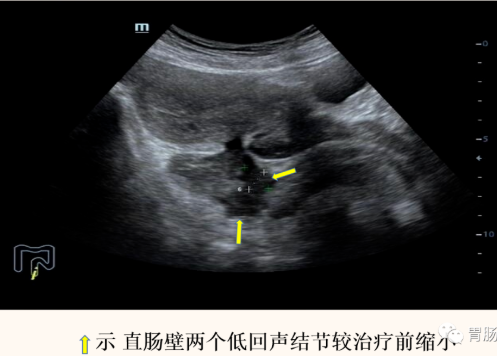
直肠后壁及右侧壁低回声结节明显减小,部分小结节已不能清晰显示,仅可见两个低回声结节,大小分别约2.1x1.1cm,1.5x1.1cm,直肠壁稍厚,厚约0.6cm,粘膜面直肠溃疡变浅,直肠无明显狭窄。患者自述大便顺畅无不适。

造影剂经直肠顺利通过,肠腔已无明显狭窄。


治疗7周后(2022-03-01日)超声示:

直肠壁仅可见一大小约2.1x1.0cm小低回声结节,其余结节及溃疡均已不显示。



讨论—直肠淋巴瘤

淋巴瘤又称恶性淋巴瘤,是一类原发于淋巴结和(或)结外淋巴组织的恶性肿瘤,病理可见分化、成熟程度不一的肿瘤性淋巴细胞大量增生,侵犯全身各个部位或组织。临床以无痛性、进行性淋巴结肿大为特征,常伴有发热、盗汗、消瘦、肝脾大,晚期有贫血、恶病质等表现。

结外淋巴瘤的发生率约占非霍奇金淋巴瘤的40%-50%,其中消化道是最常见的部位,占结外淋巴瘤的30%-45%。

近年来,随着人类对淋巴瘤本质认识的不断深入,淋巴瘤在诊断和治疗等方面出现了很多新的研究结果,患者生存得到了改善。淋巴瘤是一类以药物治疗为主的疾病,在过去15年中,中国抗淋巴瘤新药临床试验取得了长足发展,中国淋巴瘤患者有了更多的治疗选择。超声在病灶的诊断及治疗评估方面发挥了重要作用。

该病例为淋巴瘤累及直肠并造成直肠显著狭窄,因直肠明显狭窄,导致直肠指诊及肠镜均不能进入,而通过超声灌肠检查则可清晰显示病变部位及范围,逆行经肛门仅灌入少量(300ml)造影剂,即可明确观察到直肠的狭窄及病变情况,大大提高了病变的分辨率和检出率,为病变的诊断提供了更清晰的影像资料。

淋巴瘤患者往往身体整体状况不佳,病情易反复且病程较长,此方法简便、无痛苦、无放射性、可重复性强,能够清晰显示肠壁病变,为临床诊断提供可靠的依据,尤其在临床治疗效果的连续性评估中起到重要作用。



编辑:胡紫玥
责任编辑:卢漫  李媛


总部电话:
400-168-3618 15398387702
深圳市福田区梅林多丽工业区3栋
关于绽彩
联系电话:
产品中心

Copyright @ 2021. All rights reserved.云南信乐康科技有限公司 版权所有. 滇ICP备17009070号-3