联系热线:
15398387702
新闻中心
NEWS

绽彩医疗-胃异位胰腺的超声诊断思路

发布日期:2022-03-16 10:08:22   来源 : 胃肠不柯 细语晓声公众号    作者 :穆柯晓    浏览量 :1924
穆柯晓 胃肠不柯 细语晓声公众号 发布日期:2022-03-16 10:08:22  
1924

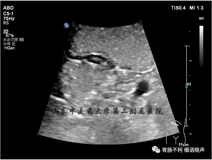
异位胰腺(heterotopic pancreas)是最常见的胃的异位组织,占所有异位胰腺的25%~30%,通常偶然发现,大多无症状,如果发生肿瘤或胰腺炎,可出现相应症状。胃充盈超声诊断异位胰腺有很大优势,随着胃充盈超声的发展,异位胰腺检出率有所增加。异位胰腺常见于胃窦,其次是幽门、胃大弯和食管胃交界处。大多位于黏膜下层或固有肌层。病理组织特点是典型的胰腺特征性的分叶状腺体结构,可见胰腺小叶及其周围纤细的纤维血管组织条索,并可见单个或多个导管与胃腔相通。其病理组织特点决定了异位胰腺的超声图像特点,结合工作中遇到的异位胰腺病例,总结超声诊断思路如下:

1、来源于黏膜下层或固有肌层,其近胃腔面可见强-低-强三层回声。

2、扁盘状或球状,其内部呈低回声、粗糙感回声或网格状回声。

3、部分病例其黏膜面中央可见凹陷,内或可见点状或线状强回声,呈“脐样征”或“线样征”。

4、异位胰腺还可以表现为黏膜下黏液囊肿。发生炎症时可呈囊实性回声。

病例一:胃窦小弯侧可见黏膜下层来源扁盘状病灶,近胃腔面可见强-低-强三层回声,内部回声呈典型网格状。

病例二:近贲门处胃体小弯侧黏膜下层来源扁盘状病灶,内呈网格状回声,可见“线样征”。

病例三:黏膜下层来源病灶,球状,内呈网格状回声,可见“脐样征”。

病例四:(此病例由昌乐中医院超声科、山东中医药大学第二附属医院胃充盈超声精品培训班优秀学员高志勇、张海成大夫提供、在山东胃肠超人2019一群请我会诊的病例)

胃窦部固有肌层来源、不规则囊性区外连着扁盘状网格状实性回声的病灶,诊断实性部分为异位胰腺,囊性部分为异位胰腺发生炎症后形成的假性囊肿。病人有餐后相应部位疼痛的症状。


异位胰腺鉴别诊断注意事项:胃平滑肌瘤常表现为扁盘状,但其内部回声较均匀光滑;某些胃间质瘤可因表面破溃形成破入瘤体的窦道而成“脐样征”或“线样征”,但往往瘤体较大时发生。

总部电话:
400-168-3618 15398387702
深圳市福田区梅林多丽工业区3栋
关于绽彩
联系电话:
产品中心

Copyright @ 2021. All rights reserved.云南信乐康科技有限公司 版权所有. 滇ICP备17009070号-3